La Omnia Dental utilizăm tehnologii de ultimă generație pentru ca tu să te bucuri de un zâmbet sănătos, fără durere.

Îți dorești un zâmbet de revistă?

Alege albirea profesională cu lampa Zoom.

899 Lei - 4 aplicări cu gelul de albire

Cum te ajută această procedură?

Avantajelealbirii profesionale

Cu toții ne dorim un zâmbet alb, curat și sănătos. Pe lângă o igienă orală corespunzătoare, cea mai eficientă soluție sunt tratamentele profesionale. La Omnia Dental folosim tehnologii moderne pentru rezultate armonioase.

Dinți mai albi cu până la 10 nuanțe

4 aplicări cu gelul de albire pentru rezultate eficiente

Fără sensibilitate post-procedură

Zâmbet fresh și strălucitor

Testimoniale

Pacienți care și-au recăpătat încrederea la
Omnia Dental

Obține zâmbetul strălucitor la care visezi

Alege tratamentul de albire profesională

Ce presupune tratamentul?

Un zâmbet strălucitor se poate obține cu ușurință în cabinetul medicului stomatolog cu ajutorul albirii dentare profesionale.

Albirea dentară profesională este un tratament eficient care utilizează un gel de albire pe bază de peroxid de hidrogen pentru a îndepărta petele și discromiile dentare. Acest gel este activat cu ajutorul unei surse de lumină specială, cum este lampa LED, care accelerează procesul de albire.

899 Lei

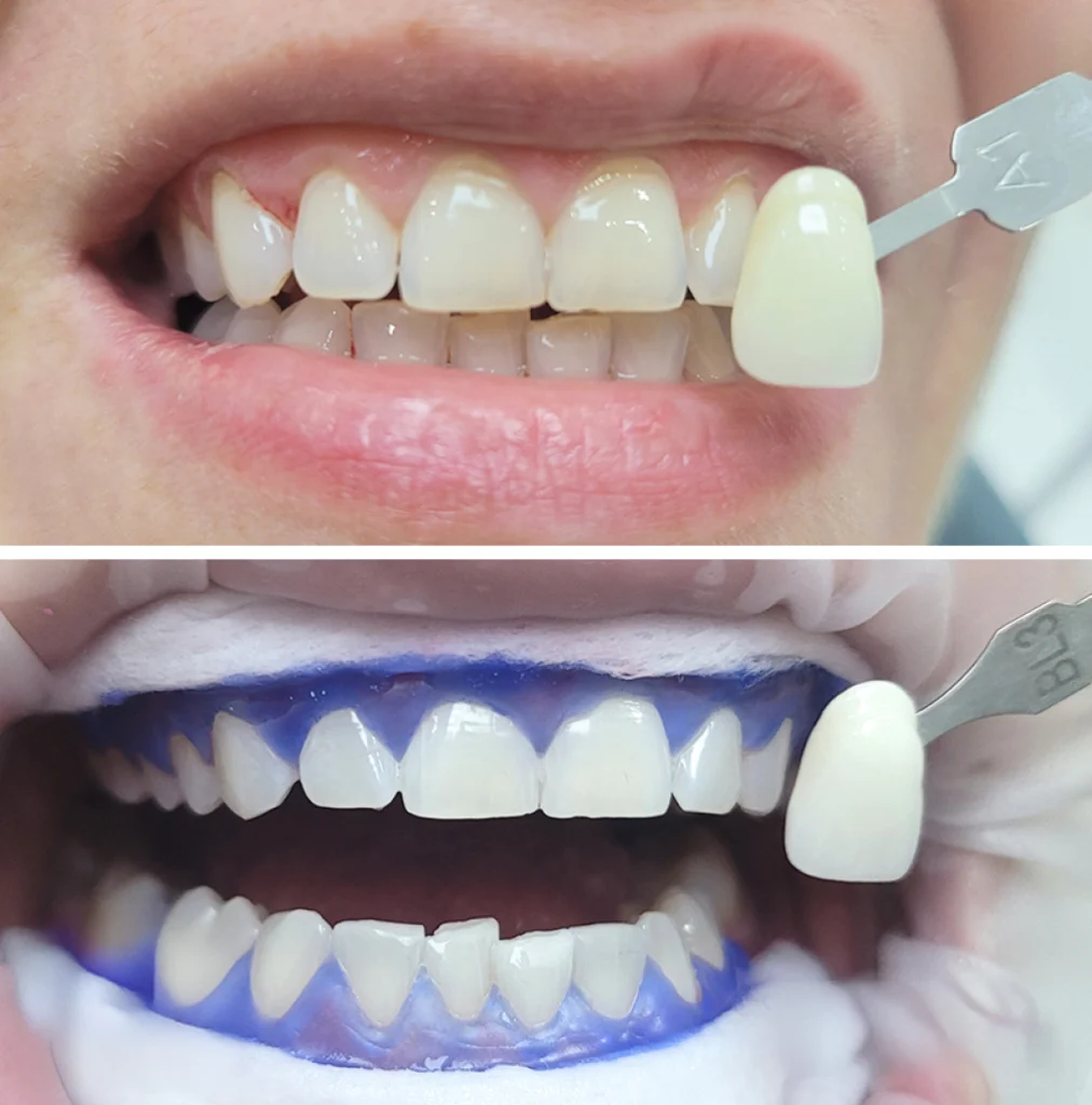
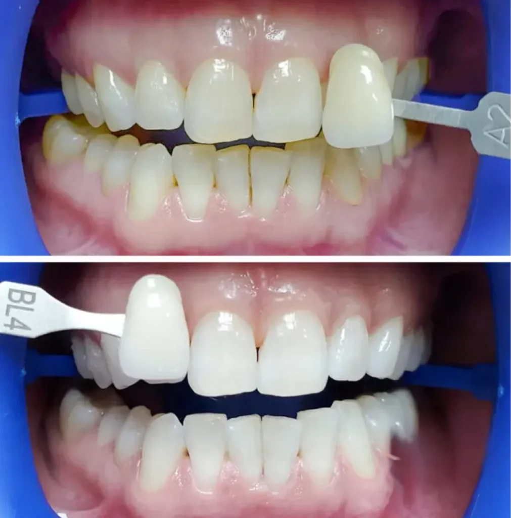
Iată câteva dintre zâmbetele pacienților noștri, înainte și după albirea profesională. 

Îți dorești și tu o astfel de schimbare?

Ce rezultate poți obține?

Albirea dinților cu lampa Philips ZOOM WhiteSpeed este una dintre cele mai eficiente metode de albire dentară profesională, oferind un zâmbet mai alb cu până la 10 nuanțe într-o singură ședință. Această tehnologie avansată utilizează lumină LED rece, care reglează intensitatea pentru a preveni sensibilitatea dentară și supraîncălzirea dinților, asigurând o procedură confortabilă cu disconfort minim.

  • Tehnologie cu lumină LED rece

  • Gel desensibilizant Relief

  • Sigur și eficient

  • Confortabil, disconfort minim

Rezultate naturale și sigure cu tehnologii avansate

Albirea dinților cu lampa Philips ZOOM

De ce să alegi clinica Omnia Dental?

Bucură-te de un zâmbet alb și sănătos

La Clinica Omnia Dental îți oferim servicii dentare de înaltă calitate și dispunem de specialiști cu experiență în domeniu. Tratăm fiecare caz cu atenție maximă pentru a-ți asigura un tratament eficient cu disconfort minim.

Folosim tehnologii moderne de albire dentară profesională, asigurând un tratament sigur, eficient și minim invaziv, cu rezultate vizibile după o ședință.

E timpul să te bucuri de un zâmbet impecabil.

Acum te poți programa online în mai puțin de un minut.

Unde ne găsești?

Programează-te online!

Adresă:

Strada Grigore Cobălcescu 42, București 010193

Program:

L – V: 10.00 – 19.00, S: 10.00 – 14.00

Email:
Telefon:
Obține un zâmbet sănătos și strălucitor.

Mai ai întrebări?

Iată câteva întrebări adresate frecvent de către pacienții noștri.

De ce își modifică smalțul culoarea?

Schimbarea la culoare a smalțului dentar poate fi cauzată de mai mulți factori, care pot acționa individual sau în combinație:

  • Factorii alimentari și fumatul
  • Expunerea la fluor și antibiotice
  • Îmbătrânirea
  • Cariile și tratamentele dinților
  • Modificări în structura smalțului sau dentinei influențând culoarea acestuia.